Stains

Identification stains and dyes in Condalab

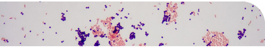
Stains and dyes are mainly used in procedures for the identification of microorganisms based on histological or morphological characteristics of bacteria. 

In our catalogue, you will find the product that best suits your needs, from basic gram stains to classify microorganisms, to more specialized techniques for the determination of mycobacterial contamination in clinical samples. 

Sort by:
See
per page
Showing 20 of 20 items
Product name
Pack size
Catalogue number